Blog - Page 3

Mandibule complète et traitement implantaire pour un bridge fixe vissé

Mandibule complète et traitement implantaire pour un bridge fixe vissé

Nettoyage des brackets avec brossette interdentaire

Nettoyage des brackets avec brossette interdentaire

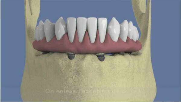
Maxillaire all-on-6 et comblement de sinus

Maxillaire all-on-6 et comblement de sinus

Facettes

Facettes

Blanchiment au fauteuil

Blanchiment au fauteuil

Impact du brossage agressif sur l’usure des dents

Impact du brossage agressif sur l’usure des dents

Bruxisme et usure dentaire

Bruxisme et usure dentaire

Implant et régénération osseuse

Implant et régénération osseuse

Régénération tissulaire guidée

Régénération tissulaire guidée

Maxillaire : all-on-4

Maxillaire : all-on-4

Expansion palatine - activation du disjoncteur

Expansion palatine - activation du disjoncteur

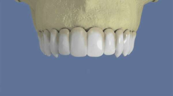
Maxillaire : bridge vissé sans fausse gencive

Maxillaire : bridge vissé sans fausse gencive

Affichage des articles 25-36 sur 131

Création par Webdentiste

Connexion