Blog - Page 8
De 6 mois à 6 ans environ, les enfants n’ont que des dents de lait. A 14 ans les dents définitives sont présentes, sauf les dents de sagesse.
Douleurs au chaud, au froid, ou au brossage : comment soulager l’hypersensibilité dentaire ?
Le scanner Cone Beam est une technique évoluée d’imagerie radiographique dont l’utilisation est en plein développement.
Invisalign® est un traitement orthodontique basé sur le port successif d’une série de gouttières transparentes.
Le PRF (Protéine Riche en Fibrine) est un concentré de plaquettes sanguines et cellules immunitaires, accélérateur du temps de cicatrisation.
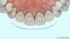
Grâce au développement de techniques discrètes et confortables, de plus en plus d’adultes ont recours à l’orthodontie.
Un cabinet dentaire est très consommateur de ressources en énergie et en matériel. Or, le respect de l’environnement est devenu l’affaire de tous.
Quel que soit le type d’appareil (amovible ou fixe), les bons gestes d’hygiène bucco-dentaire sont un gage de réussite de votre traitement.











